Why Should You Get Invisalign?

Apple icon

Bite Better, Live Better

Straight teeth help an individual to effectively bite, chew and speak. Straight teeth contribute to healthy teeth and gums ensuring a long life for your teeth.

Teeth icon

Look Good, Feel Great

Teeth that work better also tend to look better. An attractive smile is a wonderful asset.

Lock icon

Unlock Your Best Smile

Say goodbye to crowding and overbite with Invisalign®, not only enhancing your smile but also improving your overall wellbeing, confidence, and self-esteem.

Scan icon

iTero scanning for precise 3D teeth modeling, ensuring aligners fit perfectly.

Gold aligner icon

Invisalign is the gold standard of clear aligners.

Completing the picture-perfect smile, we provide teeth whitening treatments both during and after your Invisalign® journey.

Decay icon

Reduce susceptibility to decay and injury

You may be surprised to learn that aligned teeth are less prone to decay and injury.

Aligner icon

Clear, Comfy, and Practically Invisible

Your Invisalign® clear aligners are virtually invisible! Continue eating all your favorite foods without anything getting stuck in braces.

CUTTING-EDGE TECHNOLOGY, TRUSTED CARE

Expertise and Innovation:
The Core of Our Invisalign Treatment


At The Dental Fix we use iTero scanning and 3D imaging for precise, comfortable Invisalign treatments. Our advanced technology customizes each aligner, providing faster results and real-time adjustments for a smoother, more effective path to your ideal smile.

Dentist using iTero scanner
Dr. Amreen Shaikh
MEET YOUR SMILE ARCHITECT
Dr. Amreen Shaikh

Dr. Amreen Shaikh offers personalized Invisalign care, focusing on precision and comfort. Using advanced techniques, she ensures a smooth journey, with tailored results designed to enhance your smile and boost confidence.

Book an Appointment

Start to Smile: Your Invisalign Timeline

Step 1

Digital Smile Scan

No goop, no mess. Just a quick, painless 3D scan of your teeth using advanced imaging. We'll even show you a preview of your future smile before you commit.

Step 2

Personalized Treatment Plan

Based on your scan, we'll create a custom plan. Every tiny movement is pre-planned using smart software, so your treatment is clear, efficient, and tailor-made.

Step 3

Receive Your Aligners

You'll get a set of clear aligners made just for you. Each set is worn for about 1–2 weeks. As you switch them, your teeth gradually shift into place, without any interruptions to your routine.

Step 4

Track Your Progress

We'll check in with you every 6–8 weeks. These are quick, simple visits, just to ensure everything's on track and you're happy with your progress.

Step 5

Maintain Your New Smile

Once your treatment is done, we'll provide retainers to help keep your smile in place. It's the final touch to a confident, lasting transformation.

Watch How Invisalign Works!

Invisalign First clear aligner treatment is specially designed for growing kids — offering predictable results without the hassle of metal braces. It's gentle, effective, and built to keep your child smiling with confidence through every stage.

What Makes Invisalign Different?
Invisalign treatment works through a series of custom-made, clear aligners that gradually shift your teeth into perfect position. No wires, no brackets, and absolutely no food restrictions.
These aligners are made from BPA-free, latex-free, gluten-free flexible plastic that's FDA-approved and designed to fit snugly over your teeth. They're nearly invisible — so you can smile freely, laugh loudly, and live your life without interruptions.

It's Smart. It's Simple.
From teens to adults, Invisalign is a modern upgrade to traditional braces. Easy to wear. Easy to remove. And most of all, easy to love.
Let your best smile shine — the clear way

Understanding How Invisalign Corrects Misaligned Teeth

From crooked teeth to a perfect smile, Invisalign® is a revolutionary way to straighten your teeth.

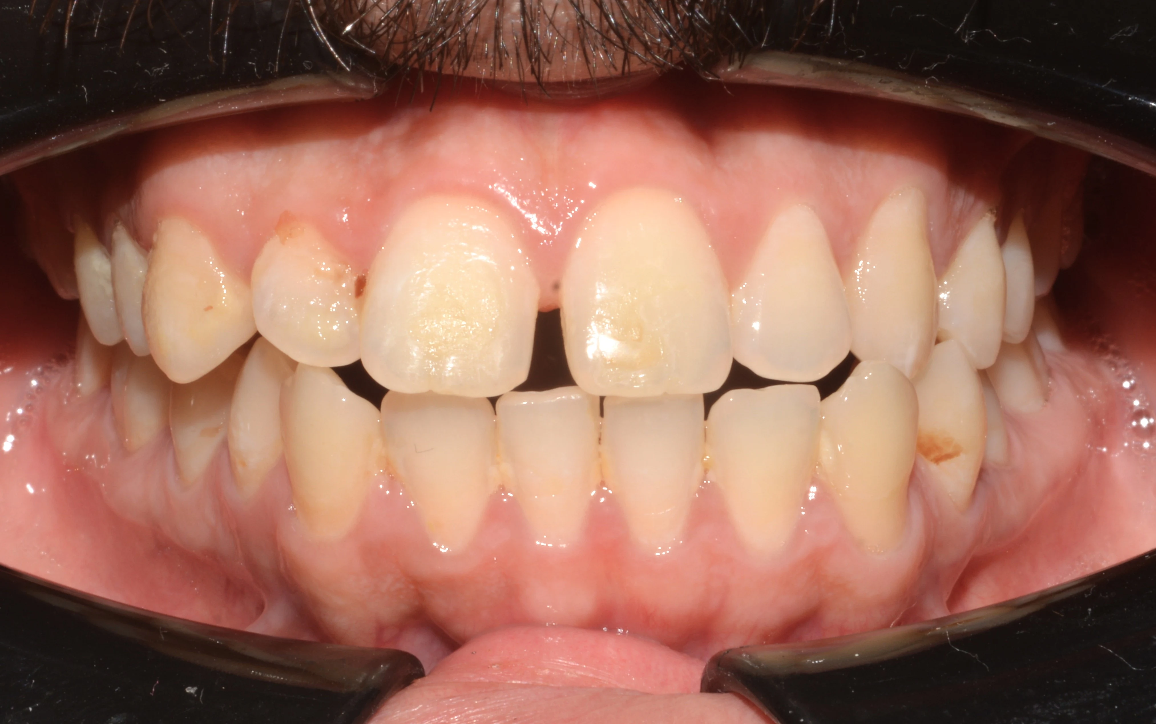
Crossbite
Crossbite Cases Crossbite Cases Crossbite Cases Crossbite Cases Crossbite Cases Crossbite Cases Crossbite Cases Crossbite Cases Crossbite Cases Crossbite Cases Crossbite Cases Crossbite Cases Crossbite Cases Crossbite Cases Crossbite Cases Crossbite Cases Crossbite Cases Crossbite Cases Crossbite Cases Crossbite Cases Crossbite Cases Crossbite Cases Crossbite Cases Crossbite Cases Crossbite Cases Crossbite Cases
Week 1

Slide the dot (●) to see the changes

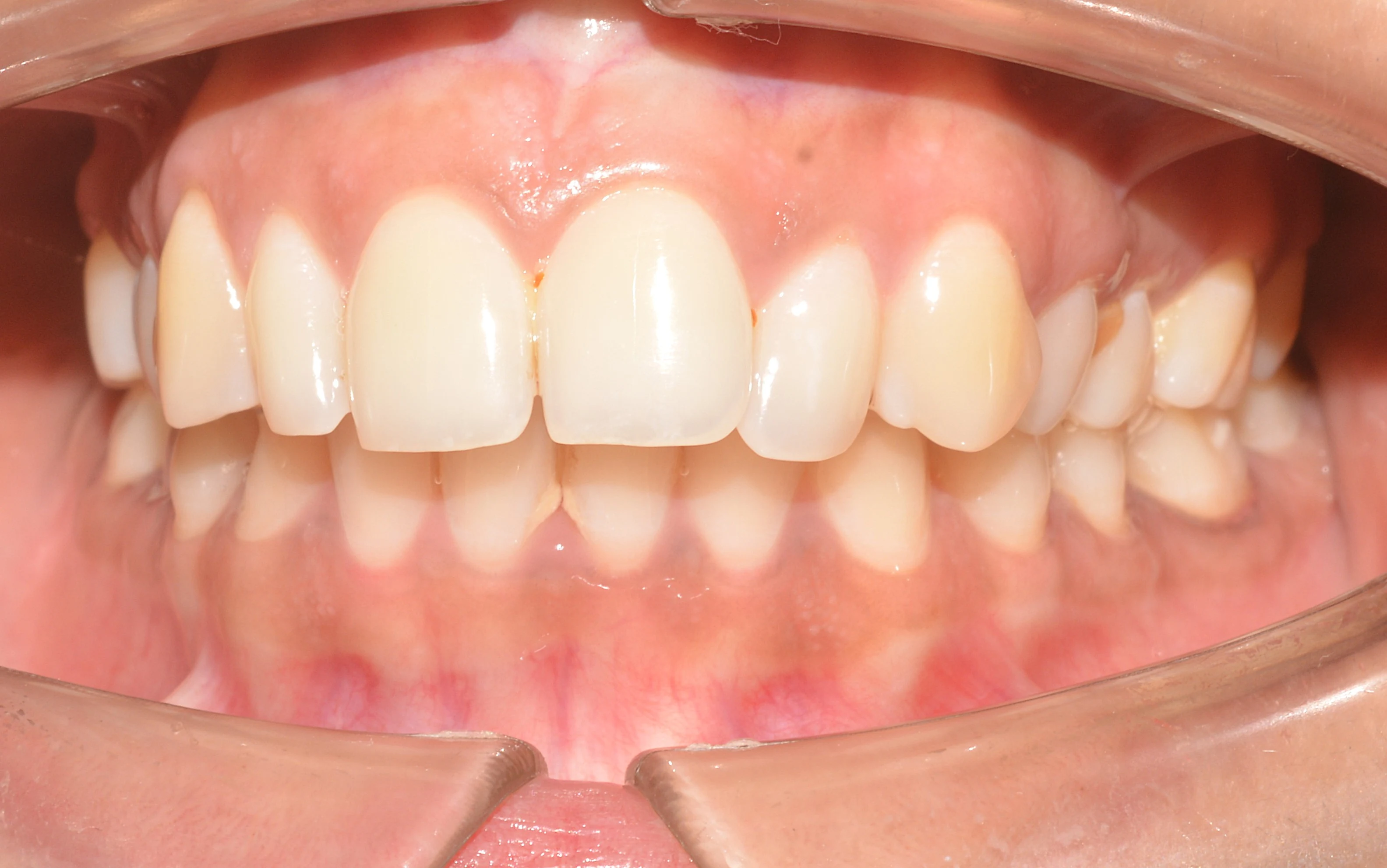
Crowding
Crowding Cases Crowding Cases Crowding Cases Crowding Cases Crowding Cases Crowding Cases Crowding Cases Crowding Cases Crowding Cases Crowding Cases Crowding Cases Crowding Cases Crowding Cases Crowding Cases Crowding Cases Crowding Cases Crowding Cases Crowding Cases Crowding Cases Crowding Cases Crowding Cases Crowding Cases Crowding Cases
Week 1

Slide the dot (●) to see the changes

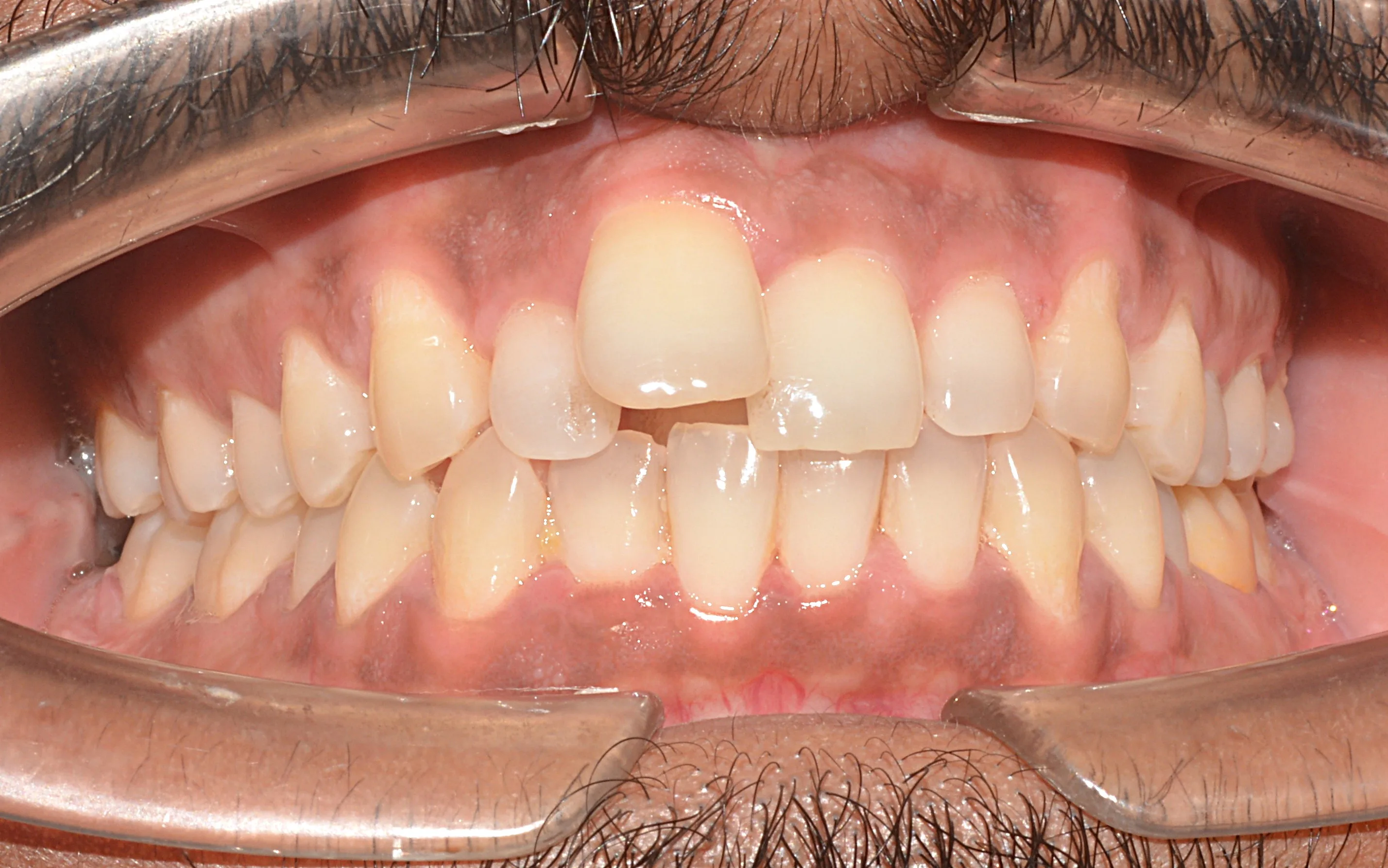
Deep bite
Deep Bite Cases Deep Bite Cases Deep Bite Cases Deep Bite Cases Deep Bite Cases Deep Bite Cases Crossbite Cases Crossbite Cases Crossbite Cases Crossbite Cases Crossbite Cases Crossbite Cases Crossbite Cases Crossbite Cases Crossbite Cases Crossbite Cases Crossbite Cases Crossbite Cases Crossbite Cases Crossbite Cases Crossbite Cases Crossbite Cases Crossbite Cases Crossbite Cases Crossbite Cases Crossbite Cases Crossbite Cases Crossbite Cases Crossbite Cases Crossbite Cases Crossbite Cases Crossbite Cases
Week 1

Slide the dot (●) to see the changes

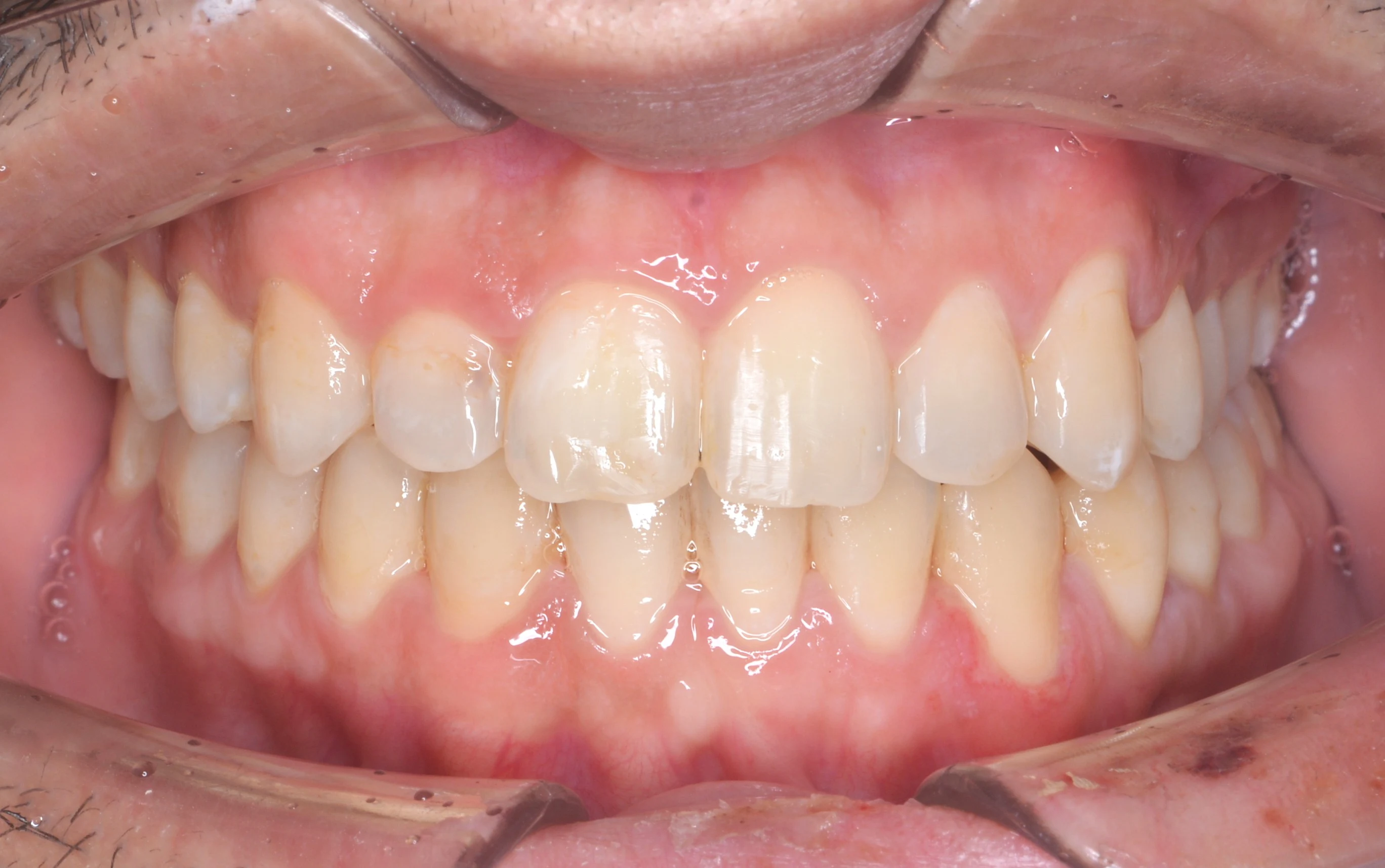
Spacing
Crossbite Cases Crossbite Cases Crossbite Cases Crossbite Cases Crossbite Cases Crossbite Cases Crossbite Cases Crossbite Cases Crossbite Cases Crossbite Cases Crossbite Cases Crossbite Cases Crossbite Cases Crossbite Cases Crossbite Cases Crossbite Cases Crossbite Cases Crossbite Cases Crossbite Cases
Week 1

Slide the dot (●) to see the changes

Open bite
Crossbite Cases Crossbite Cases Crossbite Cases Crossbite Cases Crossbite Cases Crossbite Cases Crossbite Cases Crossbite Cases Crossbite Cases Crossbite Cases Crossbite Cases Crossbite Cases Crossbite Cases Crossbite Cases Crossbite Cases Crossbite Cases Crossbite Cases Crossbite Cases Crossbite Cases Crossbite Cases Crossbite Cases Crossbite Cases Crossbite Cases Crossbite Cases Crossbite Cases Crossbite Cases Crossbite Cases Crossbite Cases Crossbite Cases Crossbite Cases
Week 1

Slide the dot (●) to see the changes

Underbite
Crossbite Cases Crossbite Cases Crossbite Cases Crossbite Cases Crossbite Cases Crossbite Cases Crossbite Cases Crossbite Cases Crossbite Cases Crossbite Cases Crossbite Cases Crossbite Cases Crossbite Cases Crossbite Cases Crossbite Cases Crossbite Cases Crossbite Cases Crossbite Cases Crossbite Cases Crossbite Cases Crossbite Cases Crossbite Cases Crossbite Cases Crossbite Cases Crossbite Cases Crossbite Cases Crossbite Cases Crossbite Cases Crossbite Cases Crossbite Cases Crossbite Cases Crossbite Cases Crossbite Cases Crossbite Cases Crossbite Cases Crossbite Cases Crossbite Cases
Week 1

Slide the dot (●) to see the changes

Our Commitment:
Enhancing Your Invisalign Experience with a Personal Touch

At The Dental Fix, we stand apart in an age where virtual and infrequent consultations are standard. We're committed to providing regular, in-person check-ins throughout your Invisalign journey, offering the attentive, hands-on care you deserve.

Our personalised approach is designed for patients who value exceptional service and optimal results for their smile.

Before smile 1
BEFORE
After smile 1
AFTER
Before smile 2
BEFORE
After smile 2
AFTER
Before smile 3
BEFORE
After smile 3
AFTER
Before smile 4
BEFORE
After smile 4
AFTER

INVISALIGN SMILE SIMULATOR

See your new Invisalign smile in seconds

Scan the QR code to see your smile transformation.
1 Open the camera app.
2 Position the phone over the QR code so that it appears over the viewfinder.
3 Tap to launch website QR code when a notification bar pops up on your screen.
*For some Android phones: If no notification bar pops up on your screen, you will need to install a QR code reader app.
Invisalign Smile Simulator QR

Frequently asked questions

Find answers to common questions about Invisalign. If you have more questions, feel free to contact us.

Still have questions?

Our team is here to help. Reach out for more information or to schedule a consultation.

Contact

Real Words Real Smiles

From the moment you walk through the door, and all the way through to aftercare, we aim to deliver a personalised and exceptional experience, helping you get the smile you deserve.

I have been visiting the Dental Fix clinic for the past one year and have been under the care of Dr Ibrahim for the dental issues which had been plaguing me for a considerable period of time. At the first visit itself Dr Ibrahim gave adequate time to listen to my concerns and explained my treatment options in a way that was easy for me to understand. He was also very transparent and upfront about the cost involved in the procedures which was very assuring. After nearly a year of extensive procedures, my dental health is now far better than it was a decade ago and I feel healthier than ever. The entire staff at the clinic is friendly, professional, and was always attentive to my needs. The procedures were performed with precision and care, and I left feeling confident in the quality of my dental work. I highly recommend Dr Ibrahim and the team at Dental Fix for anyone in need of dental care.
Narendra Rawat
Patient, The Dental Fix
"The Dental Fix clinic is one of the best dental clinic in Pune. It works under Dr. Ibrahim Shaikh sir and Dr. Amreen Khan Shaikh ma'am who is very knowledgeable. I have searched many orthodontist for my smile designing. Then I met Dr. Amreen ma'am who guided me according to my financial budget as well as durability of treatment. She gave me all possible options and time span to decide which one is ideal for me. She did all my extra visits free of cost and adjusted all my appointment according to my preference. Thank you for delivering my dream smile. Its not all about recommending this clinic to all other friends but it is one way to express my gratitude towards team The Dental Fix and Dr. Amreen Khan ma'am."
Deeps Tanti
Patient, The Dental Fix
"My husband and I have been patients of Dr Ibrahim Shaikh for over 4-5 years now, and our experience has consistently been exceptional. Dr. is not only highly skilled but also incredibly kind and trustworthy, which makes every visit comfortable and reassuring.They take the time to explain procedures in detail, ensuring we fully understand our treatment options and feel comfortable throughout the process. This clinic has become our go-to for all our dental needs, including several operations and regular check-ups. Thank you!"
Piyush Adgaonkar
Patient, The Dental Fix
"I'm about three months into my braces treatment here, and things have been going really smoothly so far. Big thanks to Dr. Amreen Shaikh and Dr. Tanya Sethi — they've been super helpful and easy to talk to throughout the whole process. Both of them take the time to explain what's going on and always make sure I'm comfortable during appointments. The clinic itself is clean and well-managed, and everything runs on time, which is always a plus. Already seeing some changes in my teeth and looking forward to the rest of the treatment. Definitely recommend the place if you're thinking about braces or any dental work."
Derek Desouza
Patient, The Dental Fix
"My experience has been nothing short of excellent. Dr Ibrahim and the team are truly professionals. They take time to explain each step in the process, which made me feel at ease. They also kept me updated ensuring I understood progress and next steps. I have always left the clinic well taken care of. If you are looking for a dentist who prioritizes patients and delivers excellent results, look no further. Thank you Dr Ibrahim and team for truly great experience!!"
Sarika Negi
Patient, The Dental Fix
"Today I am a very happy individual because I got back my "chewing rights", all thanks to Dr Ibrahim Shaikh. For some one like me, who is very fond of salads and raw fruits, it was a real challenge to eat all that because of missing molars. Today I am enjoying all that and much more. I have seen many dentists in pune, trying to fix my dental issues and was never satisfied. Finally I have found a true professional who knows his job. Thank you doctor!!!!!!"
Ashvini Kulkarni
Patient, The Dental Fix
"Doctor is amazing! You are in safe hands if you visit him. Many of my family members have visited him and they've all have a very positive experience. Superb work ethics, very honest and a rare true gem! Don't think twice before visiting him, fully endorse him! Thank you sir for doing your best and being so true to yourself and your patients🙏"
Aditi Bajpai
Patient, The Dental Fix
"Seamless and flawless treatment. From reception to detailed explanation of treatment /alternate treatment intimating the cost involved. The patient had ample opportunity to exercise his option before actual commencement of treatment. An absolutely professional clinic."
Bhupi Hundal
Patient, The Dental Fix
"I recently visited Dr. Ibrahim and Dr. Amreen's dental clinic, and I must say, it was a delightful experience. Both dentists exude humility and care, making me feel at ease throughout the treatment process. Their attention to detail and careful approach ensured that the treatment was not only effective but also result-oriented. I highly recommend their clinic for anyone seeking dental care with a personal touch."
Faizan Ali Bilagi
Patient, The Dental Fix
"To begin with Dr. Ibrahim had been treating my father and he referred his name to me. I was under an orthodontic treatment with another doctor so was apprehensive getting treatment by Dr. Ibrahim as I did not want any issue in my current treatment. But I have to say that he put my apprehensions to rest and did a great job. Also he is very pleasant and good to talk to which adds to the experience. Strongly recommend him."
Harleen Singh
Patient, The Dental Fix
"Had a fantastic experience of a tooth extraction at The Dental Fix with Dr. Ibrahim Shaikh. The ambience of the place is very warm and comfortable with great teamwork. The doctor is thoroughly professional, extremely composed and very approachable. He made me take a call in ten minutes of my first visit and briefed me about the procedure. This has, by far been one of my best decisions and I am extremely grateful for his wisdom towards my wisdom! Special thanks to Dr Yusra khatib for her excellence in diagnosis, procedure briefing and guidance!"
Shveta Kheylani
Patient, The Dental Fix
"I did my braces treatment from Dr. Ambreen and I'm really genuine in her work and is a professional dentist happy for the results i got she is she was a Dr who understood all the problems which all patients face during there braces journey i would really recommend all to have there treatment from Dr Ambreen and there staff."
Soha
Patient, The Dental Fix
"The Dental Fix" is a team work of skilled dedicated doctors, who meticulously handle the patients with utmost care to resolve the issues. Their interaction with the patient is commendable. I have undergone root canal for few of my teeth and found a remarkable difference as compared to the other's. Many a times without prior appointment but Dr. Ibrahim Shaikh shows no hesitation in treating me with the same vigour. He performed fixing of crown and a few root canal for the entire denture of my wife. Today she says she is grateful to Dr. Ibrahim Shaikh for bringing back her SMILE. I would highly recommend treatment from The Dental Fix clinic under the able guidance of Dr Ibrahim Shaikh."
Col. P. B. Oram
Patient, The Dental Fix

Ready to Experience Better Dental Care?

Schedule your appointment today and take the first step towards a healthier, more beautiful smile.